We Make Your Smile Shine Brighter

Providing gentle, professional dental care to keep your smile healthy, bright, and confident.

Google Rating 5.0 Based on 60 Reviews

Location
201, Shivalik Icone Complex, Leela Circle, Kaminyanagar
No days off
Mon-Sat: 9:30 - 8:30
Sunday: 10:00 - 1:00
Call me
+91 7016713178

Our Services

We provide complete dental care to protect your teeth, relieve pain, and give you a beautiful smile.

Dental Veneers

Thin custom shells to improve the shape, color, and appearance of your teeth.

Enhances smile aesthetics

Covers stains & gaps

Natural-looking results

Digital Smile Design

Plan and preview your perfect smile digitally before treatment.

Digital smile planning

See results in advance

Boosts confidence & look

BPS Denture

High-quality dentures designed for better comfort, fit, and natural appearance.

Precise fit & comfort

Natural look

Durable & long-lasting

E-Max Crown

High-strength ceramic crowns that provide excellent aesthetics and durability.

Strong & durable

Natural tooth-like appearance

Long-lasting results

Restoring Damaged Natural Teeth

Repair and restore damaged teeth to regain strength, function, and natural appearance.

Repairs cracks & decay

Restores natural function

Improves appearance

Full Mouth Rehabilitation

Comprehensive treatment to restore the function, health, and appearance of your entire mouth.

Complete oral restoration

Improves chewing & comfort

Enhances smile & confidence

Braces & Aligners

Orthodontic treatments to straighten teeth and improve your smile and bite.

Straightens misaligned teeth

Improves bite & function

Enhances smile confidence

Protective Guard

Custom dental guards to protect teeth from grinding, injury, and damage.

Prevents teeth grinding

Protects from damage

Comfortable custom fit

Dental Implants

A permanent and reliable solution to replace missing teeth with natural look and strength.

Permanent tooth replacement

Natural look & feel

Strong & long-lasting

More services

Comprehensive dental care for children and adults, delivered with modern technology and a gentle approach for a healthy, confident smile.

ઉપલબ્ધ સારવાર
  • આખું ચોકઠું (Complete Denture)
  • અડધું ચોકઠું (Partial Denture)
  • ડિઝાઇન વાળુ ચોકઠું (CPD-CAD-CAM Design)
  • ફ્લેક્સિબલ ચોકઠું (Flexible Denture)
  • એટેચમેન્ટ વાળુ ચોકઠુ(precision-semiprecision attachment)
  • કવર બ્રિજ (fixed Dental prosthesis)
  • ડિજિટલ સ્માઈલ ડિઝાઇન (Digital Smile Design)
  • સ્માઇલ રીજુવેનાઇલ (Rejuvenile smile)
  • પીળા પડેલા,ડાધા પડેલા,ફલોરોસીસ વાળા દાંત સફેદ કરવાની એકદમ લેટેસ્ટ ટેકનોલોજીક વડે સારવાર(Dentalveneer or office bleaching)
  • સ્માઇલ મા આવતા (aesthetic zone)તુટી ગયેલ દાંતની best સારવાર (composite or beauty crown)
  • સ્ક્રુ દ્રારા ફિકસ દાંત બેસાડવા ની સુવિધા (Implant supported fixed-prosthesis)
  • ઢીલા પડી ગયેલા ચોકઠા ને સ્ક્રુ ના સપોટ કરી ને સેમી ફીકસ દાંતની સારવાર (Implant supported over-denture)
  • ડેન્ટલ ડાયમંડ ફિકસ કરવાની સારવાર
  • આખા મોઢાના ફીકસ ક્રાઉન અને બ્રિજ Full mouth Rehabilitation of attrition teeth
  • ધસાઇ ગયેલા દાંત ની સારવાર (Bruxism/Cleanching of ની સારવાર)
  • જડબા ના સાંધા અને સ્નાયુઓની નિદાન અને સારવાર (TMD Disorder & Treatment)
  • Occlusion-Splint Occlusion adjustment
  • કેન્સર ની સર્જરી બાદ કાપેલા તાળવા અને જડબા ના ક્રુતિમ ભાગ બનાવવાની સારવાર(Maxillo-facial prosthesis)
  • દાંત નો સડો દુર કરી,દાંત નાકલર જેવા મટીરીયલ થી રેસ્ટોરેશન કરવાની સારવાર (Composite filling)
  • મૂળિયાની સારવાર (Root Canal Treatment)
  • જડબામાં થયેલી ગાંઠ / રસોળી કાઢવાની સારવાર
  • જટીલ ડાહપણ દાઢ ની painless સર્જરી જડબા ના ફેકચર ની સારવાર
  • જડબાના ફ્રેક્ચર ની સારવાર
  • આધુનિક તકનીક દ્વારા જટિલ મૂળિયાની સારવાર
બાળકોના દાંતની સારવાર
  • બાળકોના દાંતના સડાને પ્રારંભથી જ અટકાવવાની સારવાર
  • (Pit & fissure sealant/Flouride application)
  • બાળકોના દાંતમાં ફિલિંગ (સિમેન્ટ ફિલિંગ)
  • બાળકોના દાંત માં મુળીયાની સારવાર અને બાળકોના દાંત નુ કવર
  • સ્પેસ મેઇન્ટેનર(space-maintainer) વહેલા પડી ગયેલા દાંત ની જગ્યા એ કાયમી દાંત આવે ત્યા સુધી જગ્યા સાચવી રાખે છે. અને કાયમી દાંત ને વાંકાં-ચુકા થતા અટકાવે છે
  • બાળકોમાં વાંકાચૂકા દાંતની પ્રિવેન્ટિવ / ઇન્ટરસેપ્ટિવ સારવાર
  • દૂધિયા દાંતના કારણે થતા વાંકાચૂકા દાંતની સારવાર
  • હેબિટ બ્રેકિંગ એપ્લાયન્સ (આદતો દૂર કરવા માટે)
  • બાળકોમાં (નવજાત શિશુ)કપાયેલા હોઠ અને ફાટેલા તાળવા માટે ની ફિડીંગ પ્લેટ
  • નવ જાત-શિશુ ના જન્મતાની સાથે ઉગેલા દાત ની સારવાર. (avulsionteeth સારવાર.)
  • પેઢાના રોગ અને પાયોરિયા ની બેસીક + એડવાન્સ સારવાર

Modern Dental Technology

Better Tools. Better Care. Better Smiles.

Sterilization Systems
Sterilization Systems

Advanced sterilization ensures complete hygiene and patient safety.

Radiography
Digital X-ray / RVG

Low-radiation imaging for quick and accurate dental diagnosis.

Intraoral Scanner
Intraoral Scanner

Digital impressions for precise and comfortable treatments.

Advanced Care
Advanced Care

Modern equipment and techniques for better treatment outcomes.

Why Choose Us

Advanced dentistry with a gentle touch — delivering painless, safe, and high-quality treatments using modern technology and expert care.

Innovation discussion
Expert Dental Care

Dr. Dhaval Vegad (MDS) with 10+ years of trusted, result-oriented dental care.

Painless Treatment

Gentle and stress-free procedures designed for maximum comfort and a fear-free dental experience.

Family-Friendly Care

Special attention for kids, pregnant women, and senior citizens with a gentle approach.

Advanced Technology

Modern equipment and digital tools ensure accurate diagnosis and faster treatment.

Hygiene & Safety

Strict sterilization protocols with a separate sterilization room for complete safety.

Doctor Profile

Dr Dhaval Vegad

God create...we Re-create

Dr. Dhaval Vegad

Owner, Orofix Dental Care

Dr. Dhaval Vegad is a highly qualified dental professional specializing in prosthodontist, Crowns, Bridges, and Implantology. With over a decade of clinical experience, he provides expert care in aesthetic and restorative dentistry.

Qualifications
  • B.D.S. – Govt. Dental College, Jamnagar
  • M.D.S. – Govt. Dental College, Ahmedabad
Expertise

✔ prosthodontist

✔ Crowns & Bridges

✔ Dental Implants

✔ Teeth Replacement

✔ TMJ/ occlusion Splint

✔ Maxillofacial Prosthesis

Experience

10+ Years Experience including Civil Hospital Jamnagar & Ahmedabad, Consultant in Bhavnagar, and 4+ years as clinic owner.

+91 7016713178

Our Expert Dental Team

We have the best MDS specialists for advanced dental care

MDS Oral Surgeon

Wisdom teeth (ડાહપણ દાઢ), jaw fracture, cyst, severe swelling and infection.

MDS Endodontist

Complex root canal treatment (મૂળિયા ની સારવાર).

MDS Pedodontist

A to Z kids dental treatment.

MDS Orthodontist

Braces and aligners treatment.

MDS Periodontist

Advanced flap surgery and bone grafting.

In complex and special cases, we prefer a multidisciplinary approach for the best possible outcome.

Clinic Tour

Clinic Facilities
  • AC Waiting & Reception Area
  • Fully Air-Conditioned Clinical Area
  • Separate Sterilization Room for Hygiene
  • Dedicated Consulting Room
  • 2 Advanced Dental Chairs
  • Treatment by M.D.S. Specialists
  • Lift Access & Fire Safety Systems

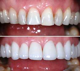
Work Gallery

Delivering measurable results that drive business growth

Steps to Your Dental Routine

Mouthwash
Brush Twice Daily

Clean your teeth for 2 minutes using fluoride toothpaste.

Floss Daily

Remove plaque and food from between your teeth.

Mouthwash

Kill bacteria and keep your breath fresh.

Healthy Diet

Limit sugar and eat tooth-friendly foods.

Stay Hydrated

Drink water to keep your mouth clean.

Dental Visits

Visit your dentist every 6 months.

Replace Brush

Change your toothbrush every 3–4 months.

Stay Consistent

Follow your routine daily for best results.

Our Impact

Building trust through healthy, confident smiles

0

Happy Patients

0

Surgeries

0

Support Staff

0

Expert Doctors

Client Testimonials

"Pure Excellence in the field ! We had removal of wisdom teeth by sir with help of their specialist."

- Bhagirath Baraiya

"I am getting my braces treatment from The Dentist. I am very must satisfied with the treatment."

- Dhruvi Goswami

"The results look natural and feel great. Thank you for bringing back my confident smile!""

- Mumtaj Uniya

About Us

Delivering expert dental care with compassion and precision

About Us

Orofix Dental Care

Orofix Dental Care is a modern dental clinic in Kaliyabid, Bhavnagar, dedicated to delivering high-quality, painless, and ethical dental treatments for patients of all ages.

Led by Dr. Dhaval Vegad (MDS Prosthodontist), with 10+ years of experience, the clinic specializes in advanced restorative, cosmetic, and implant dentistry using the latest technology and techniques.

We focus on patient comfort, hygiene, and precision, offering a safe and relaxing environment with personalized care for every individual — including kids, pregnant women, and senior citizens.

At Orofix Dental Care, our mission is to create healthy, confident smiles through trusted expertise and compassionate dental care.

Frequently Asked Questions

Orofix Dental Care is known for providing timely intensive care to patients and you can get in touch with them to check what are the various emergency services offered by the hospital.

You may be able to book an appointment online or via call. However, you can connect with the hospital helpline to fetch further details regarding their booking policy.

We offer a wide range of dental services including general check-ups, teeth cleaning, fillings, root canal treatment, dental implants, cosmetic dentistry (like teeth whitening and veneers), orthodontics, and pediatric dental care.

During a routine check-up, the dentist will examine your teeth, gums, and mouth for any signs of problems. This is usually followed by professional cleaning to remove plaque and tartar, and sometimes X-rays if needed.

The cost of a dental check-up typically ranges depending on the type of examination and any additional procedures required. For an accurate estimate, we recommend contacting our clinic directly or booking a consultation.

Get In Touch

We’re here to help you smile with confidence

Send us a Message

Fill out the form below and our team will get back to you within 24 hours.

contact border

Ready for a Healthy Smile?

Book your appointment today with our expert dentist.

Book Appointment Call Now WhatsApp